In dieser Rubrik möchten wir Ihnen ausgewählte Arbeiten vorstellen, um Ihnen einen Einblick in unsere Leistungen zu geben:

unter Zuhilfenahme von Titanstiften und Kunststofffüllungen zum Aufbau der Kronenstümpfe
Weiter

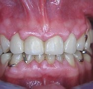
Oberkiefer: Totalprothese
Unterkiefer: von Konuskronen getragene Prothese

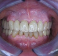
im harmonischen Zusammenspiel von Farbe, Form und Funktion
WeiterZahnarztpraxis
Dr. Karl-Fred Heinz
Lindenstr. 7
64653 Lorsch
Fon: 06251 - 57938
Fax: 06251 - 587511
E-Mail: info@doc-heinz.de
Montag
und Donnerstag
8.00 bis 12.00 Uhr und
14.00 bis 20.00 Uhr
Professionelle Zahnreinigung
Dienstag 14.00 bis 19.00 Uhr
Mittwoch 8.00 bis 13.00 Uhr
Freitags geschlossen